Το 2007, ένας 44χρονος κοινωνικός λειτουργός από την Μασσαλία πήγε στο νοσοκομείο για να του εξετάσουν το πόδι, στο οποίο ένοιωθε κόπωση επί δύο εβδομάδες.
Οι γιατροί δεν εντόπισαν κάποιο πρόβλημα και αποφάσισαν να του κάνουν μαγνητική τομογραφία στον εγκέφαλο για να δουν τι συμβαίνει.
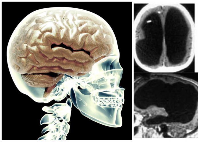
Εκείνο που ανακάλυψαν εξέπληξε την παγκόσμια ιατρική κοινότητα.
Ο άνδρας αυτός ζούσε με σχεδόν 5% του εγκεφάλου του ενώ το υπόλοιπο 95% είχε υποχωρήσει.
Το κενό μέρος του κρανίου του είχε γεμίσει με υγρό το οποίο είχε συσσωρευτεί από τα παιδικά του χρόνια.
«Είναι δύσκολο να πω το ακριβές ποσοστό έλλειψης εγκεφάλου, εφόσον δεν χρησιμοποιήσαμε λογισμικό για να μετρήσουμε τον όγκο. Αλλά οπτικά δείχνει από 50% έως 75% ή και παραπάνω», δήλωσε ο νευρολόγος του Μεσογειακού Πανεπιστημίου της Μασσαλίας, Λάιονελ Φογέτ.
Συγκεκριμένα, από τον ασθενή έλειπαν οι περιοχές του εγκεφάλου που είναι υπεύθυνες για την κίνηση, την όραση, την ομιλία, τις συναισθηματικές και διανοητικές λειτουργίες καθώς και την ευαισθησία.
Αυτός ο άνδρας όμως δεν είχε παρουσιάσει ποτέ κάποιο πρόβλημα ομιλίας, όρασης ή αισθήσεως.
Νευρολογικές έρευνες έδειξαν ότι είχε IQ 75 – λίγο χαμηλότερο από τον μέσο όρο αλλά δεν το θεώρησαν ως πρόβλημα.
Ζούσε κανονική ζωή. Εργαζόταν, είχε δύο παιδιά και δεν είχε αντιληφθεί κάτι παράξενο επάνω του.
Οι υπεύθυνοι στο νοσοκομείο πήραν το ιατρικό ιστορικό του και διαπίστωσαν κάποιο πρόβλημα.
Στην ηλικία των έξι μηνών έπασχε από υδροκεφαλία και του εμφύτευσαν βαλβίδα στον εγκέφαλο για να αδειάζει το υγρό.
Στην ηλικία των δεκατεσσάρων άρχισε να εμφανίζει συμπτώματα πάρεσης στο αριστερό του πόδι και έτσι του αφαίρεσαν την βαλβίδα.
Έκτοτε, το υγρό που συσσωρευόταν στο κεφάλι του άρχισε σταδιακά να καταστρέφει τον εγκέφαλό του.
Το απίστευτο όμως είναι πως ο εγκέφαλος προσαρμόστηκε έτσι ώστε να επιβιώσει.
Ο ανθρώπινος εγκέφαλος χαρακτηρίζεται από την ιδιότητά του να αναπλάθεται και να συμπληρώνει μέρη που έχει χάσει. Αυτή η ιδιότητα ονομάζεται πλαστικότητα του εγκεφάλου.
Οι ιδιότητες από περιοχές που χάνονται ή τραυματίζονται, μετακινούνται σε κοντινά σημεία ώστε να μπορέσει ο εγκέφαλος να διατηρήσει την λειτουργία του.
Δηλαδή εάν χαθεί η περιοχή που είναι υπεύθυνη για την ομιλία, κάποια κοντινή περιοχή θα αναλάβει αυτή τη λειτουργία.
Η υπόθεση αυτή ανάγκασε τους νευροεπιστήμονες να αναθεωρήσουν τις γνώσεις τους για την λειτουργία του εγκεφάλου αλλά και άλλων οργάνων που ίσως φέρουν ανάλογες ιδιότητες. «Εκείνο που βρίσκω εκπληκτικό μέχρι και σήμερα είναι πώς ο εγκέφαλος μπορεί να διαχειριστεί κάτι που εσύ ο ίδιος πιστεύεις πως είναι ασύμβατο με την ζωή», είχε δηλώσει ερευνητής από το γερμανικό Εθνικό Ινστιτούτο Ερευνών Ανθρώπινου Γονιδιώματος.
Το πώς ακριβώς επιβίωσε χωρίς κανένα πρόβλημα ο συγκεκριμένος άνθρωπος παραμένει μυστήριο.
Πρόκειται για μία από τις ελάχιστες υποθέσεις στην ιστορία που έχει επιβεβαιωθεί από την επιστήμη. Το όνομά του δεν δόθηκε ποτέ στην δημοσιότητα και παραμένει άγνωστη η σημερινή του κατάσταση.











